患者资料:姓名:江先生 年龄:51
病种:痛风(间歇期) 病龄:3年
主诉:左足跟红肿,出现痛风石,压痛明显。
该患者的相关情况,由崔丽主任的助理医师跟踪记录,内容属实
任何同行与机构未经本人同意,不得转载
==================================================
患者病史:2014年秋天,江先生开始出现左足跟疼痛的情况,因为影响走路,便去了医院检查,确诊为痛风性关节炎。医生表示江先生发现及时,病情不严重,给他配了内服加外敷的药物。但是江先生的痛风没有如预期般好转,几次三番换了好几种药方,依然未见明显疗效。
痛风的顽固性让江先生惶恐,因为担心病情蔓延,便不再食用高嘌呤高蛋白食物,生活习惯上也尤为注意,整个人消瘦许多。家里人知道他的病情后四处打听,在亲戚的介绍下,江先生来到我院接受崔丽主任的专业治疗。

(图:治疗前,江先生足跟处痛风石已经溃破)
检查数据:查体:患者左足跟红肿、疼痛,痛风石溃破,无其他特殊体征症状。
化验:尿酸:531.6umol/L;肌酐:113.2 umol/L;尿素:7.3mmol/L;血糖:5.1mmol/L;胱抑素C:0.85mg/L。

(图:江先生的化验报告指出尿酸等指标偏高)
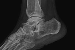
X线检查:患者左足周围软组织肿胀,局限性骨质轻微损坏,出现明显痛风结石。
HD-风湿热层析检测:江先生表示,非常担心左足跟的痛风已蔓延到其他关节。为了斩断他的疑虑,崔丽主任为他安排了HD—风湿热层析检测。它是国际最新的高科技风湿病系统性检测技术,可以在痛风发病前2年甚至更早,发现关节及周围组织的炎症,并对其定性、定位。经过精确的检测,确定江先生的痛风并没有蔓延至身体其他部位,这让他接下来可以安心接受针对性治疗。
治疗方法:与江先生进行病情交流后,崔丽主任为他制定了“痛风石微创可视消融术”治疗方案。在微创和可视条件下,有效疏通“病灶结点”对经筋的痹阻卡压,清除经筋走行的“病灶”和组织间炎症因子,消除痰瘀互结的病理产物,进而有效保护关节、肌肉、韧带及软骨组织等免受损害。同时,“微创可视消融术”兼具治疗副作用小、恢复快、手术时间短等特点,非常适合江先生这种对疾病已产生害怕心理的患者。
康复情况:

(图:“微创可视消融术”术后,江先生足跟部恢复正常)
痛风石微创可视消融术两个疗程治疗结束后,江先生复诊检查报告显示,尿酸等指标都已经恢复正常,左足跟处的痛风石完全消除,痛感也逐渐消失。我院崔丽主任叮嘱江先生,高嘌呤高蛋白食物只需限量食用即可,如果像之前一般极端化的忌食,很容易造成营养失衡。
文章部分文字、图片、数据、视频等内容信息来源于互联网,版权归原作者所有,如有侵权请立即联系删除。





